회사로고

Top
기사 메일전송
치아교정치료, 12~14세 때가 가장 효과적
  • 김지예 기자
  • 등록 2020-07-03 15:58:03
  • 수정 2020-07-03 16:01:23
기사수정
  • 치아이동 빠르고 성장 가능성 남아 성인보다 유리 … 정기검진으로 적절한 시기 찾아야
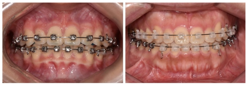
교정치료 기기 브라켓, 금속 브라켓(왼쪽)과 세라믹 브라켓
성장기에 반드시 체크해야 할 것 중 하나가 치아교정 필요성이다. 발견시기를 놓치면 초기에 간단히 치료할 수 있었던 문제를 심각하게 키워 교정에 많은 시간과 비용을 소요하게 될 수 있다. 방학기간을 이용해 치과를 찾아 상담을 받으면 도움이 된다
 
치아교정은 비정상적인 치아의 배열을 바로잡는 치료다. 치아 배열이 좋다면 입안에서 음식물을 효율적으로 자르고 분쇄할 수 있어 성장기 청소년의 원활한 영양소 섭취에 도움이 된다.
 
부정교합·이른 유치탈락·과잉치 때 교정치료 시도
 
어눌한 발음에도 교정치료가 도움이 될 수 있다. 앞니 사이에 공간이 있거나 위·아래 치아가 잘 다물어지지 않으면 이 사이로 공기가 새고 혀의 위치가 달라지면서 발음이 방해를 받을 수 있다.
 
이가 심하게 삐뚤어져 겹쳐진 경우에는 칫솔질을 해도 음식물이 치아 삼이에 남기 쉬워 입 냄새·충치·잇몸질환의 원인이 되기도 하다.

교정치료의 적절한 시기는 상태에 따라 다르다. 성장기 환자 중에서 조기에 교정치료가 필요한 경우는 △주걱턱(아래턱이 위턱보다 튀어나온 상태) 혹은 무턱(위턱이 아래턱보다 나온 상태) 등 턱뼈의 위치 및 크기와 관련된 부정교합이 있는 경우 △유치가 너무 일찍 빠져서 영구치가 나와야 할 공간에 문제가 있는 경우 △ 과잉치(정상적인 치아 외에 여분의 치아가 있는 경우)나 매복치(치아가 나오지 않고 뼈 속에 숨어있는 경우)가 있는 경우 등이다.
 
치아뿐만 아니라 턱뼈의 위치 및 크기와 관련된 부정교합이 있는 경우에는 턱뼈의 성장 과정을 고려한 장기적인 치료계획이 필요하다. 부정교합의 적절한 치료시기를 파악하기 위해서는 일반적 교정검사와 함께 성장 검사가 필요하다. 아래턱 성장(주걱턱)이 과한 어린이는 초등학교 입학 전이나 저학년부터 치료계획을 세우는 것이 좋다.
 
영구치가 나오기 전에 유치가 일찍 빠져버린 경우에는 인접치아가 빈 공간으로 이동하며 빈 공간을 차지해버릴 수 있기 때문에 ‘공간유지장치’를 이용하여 영구치가 나올 공간을 유지해주는 것이 필요하다. 이미 공간이 사라진 경우에는 이를 다시 확보하는 교정치료가 필요하다.
 
과잉치나 매복치도 다른 영구치가 정상적으로 나오는 것을 방해하거나 주변 치아를 손상시킬 수 있다. 이 손상은 회복되지 않기 때문에 조기에 방사선 검사 등으로 확인하고 치료해야 한다.
 
안석준 서울대치과병원 치과교정과 과장(치과교정과 전문의)은 “성장기 청소년이 성인보다 치아 이동이 빨라 교정에 유리하다”며 “교정치료는 12~14세 정도가 좋다”고 말했다. 이어 “교정치료가 필요한지는 환자가 보호자가 알 수 없으므로 특별한 증상이 없더라도 주기적으로 치과를 방문해 검진하는 게 중요하다”고 덧붙였다.
 
18~30개월 정도 소요 … 티 안나는 투명교정장치‧설측교정장치도 인기
 
치료기간은 상태에 따라 차이가 있으나 대개 위·아래 치아 전체를 교정하는 경우에는 18~30개월 정도 소요되며, 이 기간 동안 보통 4~6주에 1회 정도 내원이 필요하다.
 
사회적 활동 등으로 인해 장기간의 교정치료가 어려운 성인은 경우에 따라 앞니에만 교정 장치를 붙여 치료할 수도 있다. 이 경우 치료 기간은 1년 이하로 짧아진다. 하지만 장치가 부착된 부위만 교정치료가 진행되어 교합(윗니와 아랫니가 맞물린 상태)관계를 개선하기는 어렵기 때문에 교정전문의와 충분한 상담을 통해 적절한 치료 계획을 세워야 한다.
 
일반적으로 전체 치아를 배열하는 교정치료는 ‘브라켓’이라는 장치를 치아 바깥쪽에 붙이고 교정용 와이어를 넣어 진행한다. 브라켓은 크게 금속과 세라믹으로 나뉘는데, 금속은 조금 더 튼튼하지만 눈에 잘 띄고 세라믹은 간혹 깨질 수는 있지만 눈에 잘 띄지 않는다는 장점이 있다.
 
교정치료 장치가 보이는 것이 싫은 환자는 ‘투명교정장치’나 ‘설측교정장치’를 사용할 수 있다. 투명교정장치는 장치가 거의 보이지 않고 스스로 착탈이 가능하여 위생적으로 관리할 수 있으나 부정교합의 증상에 따라 사용이 어려울 수 있다.
 
설측교정장치는 대부분의 부정교합 치료에 사용 가능하고 치아 안쪽으로 장치를 부착하기 때문에 눈에 띄지 않는다는 장점이 있지만 환자맞춤형으로 제작해야하기 때문에 시간이 더 소요되며 혀가 불편하다는 단점이 있다.
 
0
회원로그인

댓글 삭제

삭제한 댓글은 다시 복구할 수 없습니다.
그래도 삭제하시겠습니까?

인제대백병원
건국대병원
고려대학교의료원
코리아메디컬서비스
가톨릭중앙의료원
원자력병원
국립암센터
부광약품
한림대병원
동국제약
강동경희대학교병원
동화약품
한국얀센(존슨앤드존슨)
정관장몰
한국유나이티드제약
인하대병원
아주대병원
애브비
화이자
동아ST
신풍제약주식회사
모바일 버전 바로가기
중앙대병원 2026년 신년 현수막
하루 동안 이 창을 다시 열지 않음