-
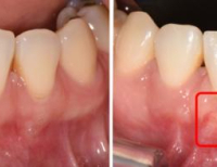
- 길어 보이고 시린 앞니, ‘잇몸 살리기’로 건강과 미소 되찾다 … 맞춤형 치료 중요
- 거울을 볼 때 앞니가 유독 길어 보이거나 웃을 때 치아 뿌리가 드러나 스트레스를 받는 이들이 늘고 있다. 이는 잇몸이 치아 뿌리 방향으로 내려앉는 ‘치...
- 2026-02-13
-
- 악화되는 ‘폐쇄성 수면무호흡증’ … 양압기 적응 어렵다면 구강내장치·턱교정수술이 대안
- 입춘을 맞아 추위가 서서히 누그러지고 있지만 실내 난방과 건조한 공기는 코막힘과 비염을 유발해 코로 숨 쉬기 어렵게 만든다. 코로 숨 쉬시기가 불편해지...
- 2026-02-04
-
- 성인 치아교정 만족도, 남성이 여성보다 높아 … 향후 임상지침 마련 근거
- 성인 치아교정 후 남성 환자가 여성 환자보다 치료 결과에 대해 높은 만족도를 보이는 것으로 나타났다. 특히 50대 이상 중장년층에서 이러한 경향이 두드러졌...
- 2025-12-09
-
- 한림대 치과학교실, 스마트폰 앱으로 턱관절장애 치료효과 세계 최초 입증
- 턱관절장애의 주요 원인이 수면 부족, 스트레스, 잘못된 생활습관 등임을 고려할 때 환자의 장기간 행동 개선이 중요한 과제다. 개인화된 관리 모델에 맞춰 체...
- 2025-12-02
-
- 충치치료, 나에게 알맞은 보철치료 방법 선택하기가 관건
- 많은 사람들이 인생에 한번쯤 겪을 수 있는 충치는 만약에 생기면 단순히 “때우면 된다”고 생각하기 쉽지만, 실제 치료 방법은 충치의 위치, 크기, 깊...
- 2025-11-13
-
- 숨은 아래턱 사랑니, 젊을 때 발치가 유리
- 방치했던 아래턱 사랑니 통증과 합병증으로 고생하는 사람들이 많다. 강남세브란스병원 구강악안면외과 연구팀이 아래턱 사랑니 발치 시기에 관한 연구 결과...
- 2025-11-13
-
- 한림대 성심병원, 디지털 무(無)시멘트 임플란트 임상효과 첫 입증 … 나사만으로 보철물 고정
- 박상윤·양병은 한림대 성심병원 치과 교수팀이 국내 최초로 임플란트 시술 시 시멘트를 사용하지 않고 나사만으로 보철물을 고정하는 디지털 무(無)시멘...
- 2025-10-29
-
- 경희대 치과병원, 혀 사진으로 설염과 구강암 구분 인공지능(AI) 기반 진단 모델 개발
- 이연희 경희대 치과병원 구강내과 교수팀(정준호 구강악안면외과 교수, 노영균 한양대 인공지능학과 교수)은 혀 사진만으로 구강암과 설암을 예측할 수 있는 ...
- 2025-09-23
-
- 성인 주걱턱 비발치·비수술로도 교정 가능 … 하악지 플레이트·구개판 복합 전략
- 턱 성장이 완료된 성인에서 주걱턱 치료는 경미한 경우 일부 소구치 발치를 통해 공간을 확보한 후 이동하는 발치 교정 치료를, 상악골과 하악골의 복합적인 ...
- 2025-08-25
-
- 박해철·심지석 고려대 의대 교수팀, 치아발달의 핵심 유전자 ‘Axin2’ 규명
- 박해철 고려대 의대 융합의학교실, 심지석 치과학교실 교수팀이 치아의 성장 속도가 늦고 단단해지지 않는 유전적 원인을 밝혀냈다. 연구팀은 제브라피쉬 ...
- 2025-08-19
-
- ‘임플란트 오래쓰기 위한’ 국내 치주과 의료진 공동연구 결과 발표
- 인구 고령화로 치아 임플란트 ‘보편 치료’ 시대에 접어들었다. 치과 임플란트는 상실된 치아를 대체하는 데 성공적으로 사용되며, 높은 내구성과 심...
- 2025-08-01
-
- 구강질환 있으면 암 발생률, 사망률도 높아져
- 구강질환이 암 발생뿐 아니라 암으로 인한 사망률까지 높일 수 있다는 대규모 연구 결과가 나왔다. 특히 이번 연구는 치아 상실뿐 아니라 초기 잇몸질환인 치...
- 2025-07-16
-
- 주걱턱 교정 시 위턱을 앞으로 당겨주면 어금니 각도는 자연 개선
- 이유선 고려대 안암병원 치과교정과 교수가 최근 연구를 통해 3급 부정교합에 대한 최신 치료법의 우수성을 규명했다. 부정교합은 치열이 정상의 범위를 벗...
- 2025-05-23
-
- 한림대 임상치의학대학원, 새 디자인 치과 임플란트 보철물의 내구성과 안정성 향상 입증
- 한림대 임상치의학대학원 치과인공지능로보틱스학과 연구팀(1저자 조수민 석사졸업생)은 특별 설계된 새로운 임플란트 연결 부품(어버트먼트)과 나사가 기존...
- 2025-03-28
-
- 기나긴 치과 교정치료 기간 줄이는 ‘급속 교정’
- 치아 교정치료는 치료에 오랜 기간이 걸린다. 짧게는 수개월, 길게는 수년이 소요된다. 치아를 움직이게 하는 잇몸뼈 리모델링의 진행이 매우 느리기 때문이...
- 2025-03-26
-
- 치아 임플란트 시술받은 5명 중 3명, 사후관리 방치 & 주위질환(치주염) 경험
- 대한치주과학회와 동국제약은 20일 한국프레스센터에서 ‘임플란트 성공과 실패, 사후관리가 좌우합니다’라는 주제로 ‘제17회 잇몸의 날’(매...
- 2025-03-20
-
- 잘 씹히는 튼튼한 ‘임플란트’ 위한 5가지 조건
- 치과에서 시행하는 임플란트 식립은 치아 상실 시 진행되는 대표적인 재건·수복 치료다. 기존 치아처럼 온전히 회복할 수 없는 한계는 있지만, 현실적으...
- 2025-02-20
-
- ‘부럼 깨기’ 전 우리아이 치아건강 체크 … 유치나 영구치 손상 안 되게 지도
- 우리 민족은 오랜 전통으로 정월대보름엔 가족과 이웃이 모여 견과류 등 단단한 음식을 깨물어 먹으며 한 해의 건강과 행운을 기원하는 ‘부럼 깨기’ ...
- 2025-02-11
- 많이 본 뉴스
-
-
1
얼굴‧이하선 전방 종양 로봇수술, 출혈‧흉터 만족도 장점… 안전성은 기존 수술과 동등
-
2
동아제약, 피부건조증에 효과적인 3중 복합 성분 함유 ‘노드라나액’ 출시 … 헤파리노이드, 글리시리진, 알란…
-
3
JW생활건강, 네이버 브랜드스토어 ‘설날+세일’ 이벤트 … 12일까지 최대 61% 할인, 쿠폰·신제품 추가 증정
-
4
여성암 수술 후 림프부종, ‘림프절 이식술’ 후 효과 핵의학검사로 예측
-
5
JW중외제약, 탈모치료제 후보물질 ‘JW0061’ 1상 IND 승인 … 서울대병원서 한국인‧백인 대상 104명 착수
-
6
위암수술 후 담석 발생 위험, 수술법에 따라 차이 … 수술 10년 후 8.9%서 증상성 담석 발생
-
7
조대진·배성수 강동경희대병원 교수팀, SRS Asia Pacific 2026, ‘Best of Session’ 선정 …성인 척추변형 재수술 전략
-
8
혈당강하, 체중감소, 심장‧신장질환 위험 감소 효과 겸비한 ‘오젬픽’ 당뇨병 치료 관행 바꿀까
-
9
길어 보이고 시린 앞니, ‘잇몸 살리기’로 건강과 미소 되찾다 … 맞춤형 치료 중요
-
10
갑자기 솟아오른 손목 혹, 손목결절종 그대로 둬도 될까?