회사로고

Top
기사 메일전송
하악왜소증 치료, 코골이·수면무호흡 예방에 효과적
  • 박정환 기자
  • 등록 2014-09-17 15:48:16
  • 수정 2015-01-06 20:31:50
기사수정
  • 아래턱 성장하면서 기도상·하부 확장 … 7~8년 뒤 성장완료 시점까지 치료효과 유지

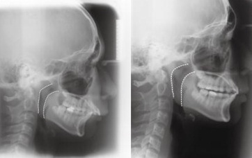
하악왜소증 치료 전(왼쪽)과 후 비교사진

최근 어린이 하악왜소증(무턱) 환자가 증가하고 있는 가운데 무턱치료가 부정교합뿐만 아니라 코골이와 수면무호흡증의 예방 및 치료에도 효과적이라는 연구결과가 나왔다. 이런 효과는 성인이 돈 이후에도 유지되는 것으로 확인됐다.

김경호·최윤정 연세대 강남세브란스병원 치과병원 교정과 교수팀은 왜소한 아래턱에 성장을 촉진하는 장치를 사용해 교정치료를 받은 평균 11살 어린이 24명을 7~8년간 추적관찰한 결과 아래턱의 성장으로 턱과 치열이 교정되고 좁았던 기도가 넓어지는 것으로 나타났다고 17일 밝혔다.

치료 후 환자의 평균 기도상부 직경은 8.5㎜에서 10.5㎜, 기도하부 직경은 9.8㎜에서 11.2㎜, 전후방 골격차이지수(ANB)는 7.0도에서 5.1도로 아래턱이 성장하면서 상하부 기도의 크기와 전체 부피가 증가했다.

이는 약 2년여의 치료과정이 끝나고 계측된 수치로, 7~8년 후 성장이 완료된 시점까지 치료효과가 유지됐다. 좁았던 기도는 치료 후 확장되면서 정상 어린이와 차이가 없었다. 이같은 기도확장 효과는 좁은 기도로 인해 생길 수 있는 코골이와 수면무호흡증을 예방하는 데 도움될 것으로 기대된다.

무턱이라 불리는 하악왜소증은 아래턱이 덜 성장해 크기가 작거나, 뒤로 들어가 있는 상태를 의미한다. 목과 얼굴 경계가 불분명하고 상대적으로 돌출입처럼 보이기도 한다. 턱의 전후방 골격차이지수(ANB)가 4도 이상이면 치료받는 게 좋다. 만 10~12세부터 평균 1~2년 정도 치료하는 게 효과적이다.

김 교수는 “무턱은 심미적인 문제뿐만 아니라 건강과 직접 관련되는 저작기능, 호흡기, 발음 등에 심각한 악영향을 준다”며 “아래턱이 좁아 치아가 고르게 나지 않으면 윗니와 아랫니가 제대로 맞물리지 않고, 턱뼈 길이·크기가 달라져 부정교합이 야기돼 안면과 치열이 변형될 수 있다”고 설명했다. 이어 “아래턱 밑의 근육과 뼈는 기도와 연결돼 있어 수면무호흡증상이나 코골이를 유발할 수 있다”고 덧붙였다. 

선천적으로 무턱인 어린이는 정상인 아동보다 기도가 좁아 정상적인 호흡이 어려운 경우가 많다. 수면 중 무호흡, 코골이 등으로 수면장애가 있는 성장기 아이는 호흡기질환의 발병 위험이 높고, 집중력이 저하되며, 성인이 된 뒤 여러 합병증이 발생할 수 있다.

이번 연구결과는 SCI-E에 등재된 ‘치과교정학회지(The Korean Journal of Orthodontics)’ 최근호에 게재됐다.

0
회원로그인

댓글 삭제

삭제한 댓글은 다시 복구할 수 없습니다.
그래도 삭제하시겠습니까?

인제대백병원
건국대병원
고려대학교의료원
코리아메디컬서비스
가톨릭중앙의료원
원자력병원
국립암센터
부광약품
한림대병원
동국제약
강동경희대학교병원
동화약품
한국얀센(존슨앤드존슨)
정관장몰
한국유나이티드제약
인하대병원
아주대병원
애브비
화이자
동아ST
신풍제약주식회사
모바일 버전 바로가기
중앙대병원 2026년 신년 현수막
하루 동안 이 창을 다시 열지 않음