회사로고

Top
기사 메일전송
자다 말고 ‘컥컥’ 폐쇄성 수면무호흡증, 치과 치료로 해결
  • 정종호 기자
  • 등록 2024-10-11 14:41:49
기사수정
  • 구강내 장치 치료, 이동 쉽고 소음 없어 사용 편리 … 교정치료와 수술적 치료도 고려

50대 남성 A씨는 심한 코골이와 수면 중 호흡 중단 증상으로 일상생활에 큰 어려움을 겪었지만, 치과에 받은 구강 내 장치 치료를 통해 현재는 정상적인 수면을 한다. 

   

초등학교에 다니는 어린이 환자 B군은 수면 중 무호흡과 함께 낮 졸음, 집중력 부족 등의 증상을 보였다. 치과검사 결과, 상악골(위턱뼈)이 좁아 수면 중 기도가 막히는 것으로 나타났다. 상악확장술을 받은 뒤, 학습 능력과 집중력이 크게 개선됐다. 수면무호흡증의 치과치료에 대해 홍성옥 강동경희대치과병원 교수의 도움말로 알아본다.

   

폐쇄성 수면무호흡증(Obstructive Sleep Apnea, OSA)은 수면 중에 상부 기도가 반복적으로 막혀서 숨을 못 쉬고 자주 잠에서 깨는 질환이다. 구강 구조상 혀가 크고, 아래턱이 작은 사람에서 많이 발생한다. 낮에는 숨을 쉬거나 일상생활에 문제를 못 느끼지만, 잠이 들면 숨이 막혀 ‘컥컥’ 대는 증상을 보인다. 배우자를 비롯한 가족들에게는 불편감은 물론 큰 걱정거리일 수밖에 없다. 자다가 ‘컥컥’거리는 것은 수면 중에 혀뿌리가 있는 상기도가 좁아지거나 막히면서 생기는 증상이다. 10초 이상 숨이 멈추는 수면무호흡이나 숨을 얕게 쉬는 수면저호흡 증상이 한 시간 동안 5회 이상 나타나면 수면무호흡증에 해당한다.

   

방치하면 고혈압, 뇌졸중, 심부정맥, 당뇨병 등에 영향

   

수면무호흡증은 수면 중 호흡이 반복적으로 멈추거나 얕아지는 질환으로, 장기간 방치하면 심혈관계질환을 비롯한 다양한 건강 문제를 유발할 수 있다. 낮 졸음과 야간 일시 호흡중단 또는 코골이가 동반되며 많이 자고 일어나도 피로감을 호소하는 경우가 많다. 더 심해지면 고혈압, 뇌졸중, 심부정맥, 당뇨병 등에도 악영향을 미친다.

   

큰 혀나 작은 아래턱, 구강 내 장치로 수면무호흡증 개선

   

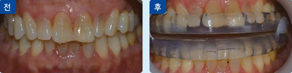
수면무호흡증에 치과치료가 효과적인 이유는 이 질환이 구강 구조와 밀접한 관련이 있기 때문이다. 특히 혀가 크거나 아래턱이 작은 경우, 상기도가 수면 중에 막히기 쉽다. 이런 경우엔 치과에서 수면무호흡증을 치료할 때는 쓰는 구강 내 장치(OA: Oral Appliance Therapy)는 기도를 확보해 호흡을 원활하게 만든다. 이 방법은 지속적 기도 양압기(continuous positive airway pressure, CPAP) 치료보다 착용이 간편하고 환자만족도가 높다. 구강 내 장치는 하악(아래턱)을 앞으로 이동시켜 기도를 넓히는 원리로, 휴대가 간편하고 소음이 없어 일상생활에서도 큰 부담 없이 사용할 수 있다.   구강내 치과치료 장치 사용 전(왼쪽)과 후 

구강 내 장치는 특히 경증~중등도의 수면무호흡 환자들에게 적합하며, CPAP에 비해 편리성이 크다. CPAP은 지속해서 기도에 압력을 가하여 기도를 열어주는 역할을 하지만, 많은 환자가 착용 시 불편함을 느껴 장기적으로 사용하기 어렵다. 이에 비해 구강 내 장치는 이동이 쉽고 무겁지 않으며, 소음이 없어 환자들이 밤새 편안하게 수면할 수 있는 장점이 있다.

   

경구개(입천장)이 좁은 경우에는 교정적 접근이 필요하다. 상악확장술을 통해 경구개를 넓혀주면 수면무호흡증이 개선될 수 있다. 더 심한 경우엔 양악전진술이나 상악골확장술 등 수술적 치료가 고려될 수 있다. 이런 치과적 치료는 환자의 구강 구조와 증상에 맞춰 선택되며, 적절한 치료를 통해 폐쇄성 수면무호흡증의 심각성을 줄일 수 있다.

   

체중 관리 중요, 혀 긴장도 올리는 운동도 추천

   

수면무호흡증을 예방하고 관리하기 위해서는 규칙적인 생활습관이 중요하다. 비만은 수면무호흡증의 주요 원인 중 하나로, 체중을 관리하는 것이 중요한 예방 방법이다. 따라서 구강 내 장치를 통한 치료 외에도 체중 관리와 규칙적인 운동이 큰 도움이 될 수 있다. 혀의 긴장도를 높이는 상기도 근기능 강화 운동도 추천된다,

   홍성옥 교수가 구강내 장치치료 환자에게 치료 개요를 설명하고 있다. 

홍성옥 교수는 “구강 내 장치 치료를 받는 환자는 3~6개월 주기로 정기검진을 받는 게 좋다”며 “치아와 턱관절의 변화를 자세히 관찰해 치료 효과를 지속해서 유지해야 한다”고 조언했다. 

1
회원로그인

댓글 삭제

삭제한 댓글은 다시 복구할 수 없습니다.
그래도 삭제하시겠습니까?

인제대백병원
건국대병원
고려대학교의료원
코리아메디컬서비스
가톨릭중앙의료원
원자력병원
국립암센터
부광약품
한림대병원
동국제약
강동경희대학교병원
동화약품
한국얀센(존슨앤드존슨)
정관장몰
한국유나이티드제약
인하대병원
아주대병원
애브비
화이자
동아ST
신풍제약주식회사
모바일 버전 바로가기
중앙대병원 2026년 신년 현수막
하루 동안 이 창을 다시 열지 않음