회사로고

Top
기사 메일전송
잇몸이 내려앉는다고요? 치은퇴축의 치료와 예방
  • 이희진 기자
  • 등록 2024-03-01 09:50:50
  • 수정 2024-03-06 19:19:34
기사수정
  • 잇몸 내려낮는 '치은퇴축'... 올바른 양치질 습관과 정기적 검진이 중요

50대 A씨는 요즘 양치를 할 때나 거울을 볼 때마다 시름이 깊어진다. 그 이유는 눈에 띄게 내려앉은 잇몸 때문인데, 드러난 치아 뿌리는 양치질을 할 때 바늘로 찌르는 듯한 통증과 시린 증상이, 내려앉은 잇몸은 웃거나 말을 할 때 사람들의 시선이 느껴지는 듯해 불편함이 이만저만이 아니다. 


A씨와 같이 잇몸 내려앉음이 발생하고 치아가 많이 노출되는 증상을 ‘치은퇴축’이라고 한다. 

치은퇴축은 다른 말로 잇몸 퇴축이라고 불리는데, 갑자기 나타나는 것이 아니라 몇해에 걸쳐 서서히 발생되는 질환으로 구강의 위생관리가 제대로 행해지지 않으면 치아와 잇몸 사이에 세균이 축적되어 잇몸 염증으로 이어지게 되는데, 이 과정에서 잇몸 퇴축이 발생한다. 또한 과도한 칫솔질 및 치실의 사용으로 잇몸에 손상을 주어 그 원인이 되기도 한다.


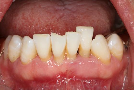
치주질환 및 정출로 인해 잇몸이 퇴축되고 치아 뿌리가 상당 부분 노출된 환자의 모습


김윤정 관악서울대치과병원 교수(치주과 전문의)는 “지나치게 단단한 칫솔모를 사용해 과도한 잇솔질을 하는 것, 이갈이 등의 악습관도 잇몸 퇴축을 촉진할 수 있다”라며, “이밖에도 치아 뿌리의 만곡도나 치아가 배열돼있는 포물선 형태인 ‘악궁’ 내 치아의 위치도 영향을 줄 수 있고, 맞닿는 대합치가 없어 치아가 솟아나는 ‘정출’현상이 생기는 경우에도 상대적인 잇몸퇴축이 발생한다”라고 말했다.


잇몸병(치주질환)으로 인한 잇몸 조직의 소실은 주로 중장년층이나 노년층에서 나타나지만, 치아의 외상 등에 의해 치주조직이 얇은 부위에서 발생하는 치은퇴축은 젊은 연령에도 자주 발생한다.


잇몸이 치아 뿌리 방향으로 내려가 치근(치아 뿌리)이 노출되면, 차고 뜨거운 것에 민감해질 수 있다. 또, 치아 사이 공간이 넓어지면 음식물이 빈번하게 끼기도 하고, 노출된 치근면이나 인접면에 충치가 발생할 수 있다. 치아 사이가 벌어져 평소보다 음식물이 많이 끼거나 앞니의 뿌리가 이전보다 많이 보이고 치아가 길어진 것 같이 느껴진다면 잇몸 점검을 받아볼 필요가 있다.


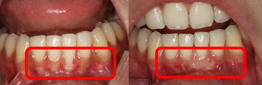
치료법으로는 가장 중요한 것은 올바른 양치질 습관을 바로잡는 것이다. 하지만 잇몸 퇴축이 진행 중일 경우 그 원인이 염증에 있다면 치주치료를 통해 불량한 구강 위생 상태를 해결할 수 있지만, 한번 퇴축된 잇몸은 쉽게 회복되지 않아 잇몸 퇴축 부위, 잇몸 형태, 퇴축 정도에 따라 잇몸성형술과 잇몸 이식술 등으로 치료할 수 있다. 잇몸 이식술은 구개(입천장) 측에서 충분한 양의 결합조직 이식 편을 채취해 퇴축 부위에 덮는 방식으로 진행한다. 치료를 통해 노출된 치아 뿌리를 덮고 잇몸의 높이와 부피를 회복할 수 있다. 이에 앞서, 치주질환으로 인해 전반적인 치조골 소실과 치은퇴축 양상이 관찰되는 경우에는 철저한 치주치료로 더 이상의 퇴축을 방지하는 것이 필수적이다.


잇몸이식술을 통해 노출된 치근면을 덮기 전(왼쪽)과 치료 후 모습(오른쪽)


치은퇴축의 예방법에 대해 김윤정 교수는 “부드러운 칫솔모 사용해 올바른 방법으로 칫솔질하되, 정기적인 치과 내원 통해 구강 위생상태에 각별한 관심 갖고 관리 필요” 하다고 말했다. 또한 “교합 상태를 확인하고 이갈이 등의 악습관이 발견되는 경우 의료진에게 정확한 진단과 조치를 받아야 한다”라며, “또, 치조골이 소실되지 않은 상태의 퇴축 부위는 늦기 전에 잇몸 이식술을 진행할 수 있도록 전문 의료진의 진단과 치료를 받는 것이 중요하다”라고 강조했다.


관악서울대치과병원 김윤정 교수(치주과 전문의)

0
회원로그인

댓글 삭제

삭제한 댓글은 다시 복구할 수 없습니다.
그래도 삭제하시겠습니까?

인제대백병원
건국대병원
고려대학교의료원
코리아메디컬서비스
가톨릭중앙의료원
원자력병원
국립암센터
부광약품
한림대병원
동국제약
강동경희대학교병원
동화약품
한국얀센(존슨앤드존슨)
정관장몰
한국유나이티드제약
인하대병원
아주대병원
애브비
화이자
동아ST
신풍제약주식회사
모바일 버전 바로가기
중앙대병원 2026년 신년 현수막
하루 동안 이 창을 다시 열지 않음