회사로고

Top
기사 메일전송
비뚤거리는 치아는 부모 탓? 실제로는 유전성향이 낮다
  • 김광학 기자
  • 등록 2022-07-07 10:25:00
  • 수정 2022-07-07 10:25:20
기사수정
  • 김영호 아주대 임상치의학대학원 교수팀, ‘쌍둥이 연구’를 통하여 본 얼굴과 치아의 유전

자녀의 치아가 비뚤거리면 엄마나 아빠를 닮아서라고 생각할 수 있는데, 실제로 비뚤거리는 치아는 유전 성향이 낮다는 재미있는 연구결과가 발표됐다. 


김영호 아주대 임상치의학대학원 교수와 채화성 강의 교수 연구팀은 지난 2011년부터 2018년까지 가족 중에 쌍둥이를 둔 553명의 가족 중 일란성 쌍둥이 36쌍, 이란성 쌍둥이 13쌍 그리고 형제 26쌍(평균 연령 39.8세, 모두 동성) 총 150명을 대상으로, 옆얼굴 방사선 사진 즉, 측모두부방사선사진(Lateral cephalogram)을 촬영해 다양한 수평·수직 길이, 각도와 비율을 측정했다. 


측정한 수치는 유전역학에 근거한 통계 방법을 이용하여 대상자 간의 일치도를 찾아내고, 그 일치도를 통해 유전적 연관성을 예측했다. 


그 결과 얼굴의 유전율은 크기보다는 모양을 그리고 수직적 길이와 비율에서 높은 유전율을 보이는 데 반해, 치아의 유전율은 앞니와 송곳니의 수직적 위치 외에는 상대적으로 유전율이 낮았다. 


예를 들어 한국인의 얼굴에서 높은 빈도를 보이는 주걱턱은 유전 성향이 강해, 부모로부터 유전될 확률이 높고, 크기보다는 모양이 더 유전되는 것으로 밝혀졌다. 는 잘 알려진 유럽의 합스부르크(Hapsburg) 왕가의 전형적인 얼굴로, 필립 2세의 딸 이사벨라는 소녀 시절 단아한 용모에도 불구하고 아빠인 필립 2세의 주걱턱 모양을 빼닮은 것을 알 수 있다.


반면 치아는 유전 성향이 낮아 부모의 치열이 가지런해도 자녀의 치아는 비뚤거릴 수 있으며 형제간에도 다른 치열 양상을 흔히 볼 수 있는 것으로 확인됐다. 


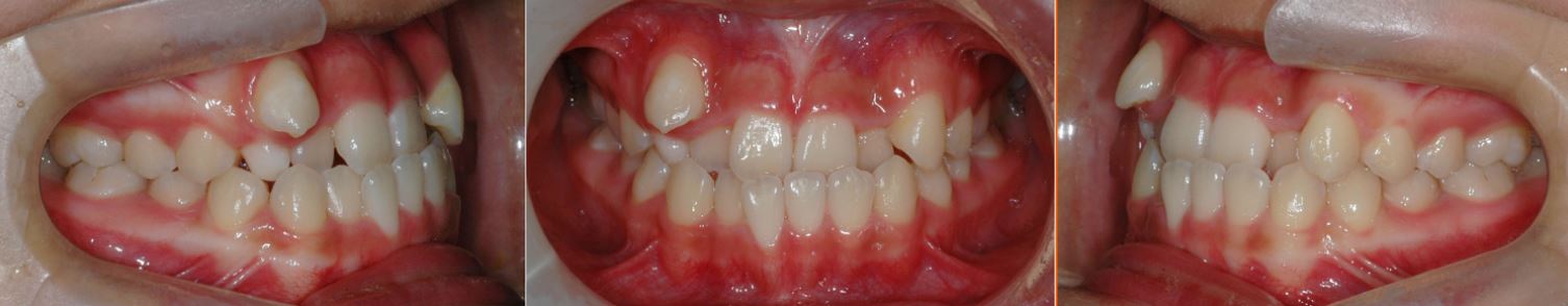
연구 대상 중 일란성 쌍둥이의 경우 유전자가 100% 동일하므로 동일한 치열 양상을 보일 것으로 예상했으나, 흥미롭게도 치열의 양상이 거울을 보듯 대칭적으로 나타났다. [그림 3]은 일란성 쌍둥이의 치열 상태로, 일란성 쌍둥이 중 한 명은 상악의 왼쪽 송곳니가 튀어나와 비뚤거리고, 다른 한 명은 반대쪽인 오른쪽 송곳니가 튀어나와 있는 것을 볼 수 있다. 아마도 자궁 내에서 서로 반대쪽에 대칭으로 위치하며 자라서 거울상(mirror image)을 보이는 것으로 추측된다고 연구팀은 설명했다.

치아의 유전율을 연구하기 위한 계측점. (아주대병원 제공)


김영호 교수(아주대 임상치의학대학원장 겸 치과병원장)는 “자궁 내에서 아이의 얼굴과 치아가 형성되는 과정에서 유전적 요소 외에 환경적 요소가 복합적으로 작용하는 것으로 확인됐다. 특히 치아는 유전 성향이 낮아 부모가 자녀의 비뚤거리는 치아에 대해 미안해 하지 않아도 된다”라고 말했다.


또 ”치아 중 비교적 유전율이 높은 앞니와 송곳니의 경우, 8~9세 경 치과교정과 검진을 통해 비뚤거리거나 위치 이상이 있는 치아로 인해 맹출(돋아남)이 방해받지 않도록 공간부족, 악습관, 교합 이상 등의 원인을 미리 차단하는 교정치료를 받을 것을 권장한다“라고 덧붙였다.


연구팀은 지난 8년간 치아의 수와 형태 이상부터 안면 골격, 연조직, 오목형, 볼록형 얼굴 패턴 등에 관한 논문 10여 편을 국내외 학술지에 발표했다.


한편 이번 연구는 2022년 6월 치과 분야 SCI급 국제학술지인 Clinical Oral Investigations에 ‘Heritability of maxillary dental cephalometric variables among monozygotic twins, dizygotic twins and their siblings(쌍둥이 연구를 통한 한국인 측모두부방사선사진 상악 치아 계측치의 유전적 연관성 고찰)’란 제목으로 게재됐다.

김영호 아주대 임상치의학대학원 교수(왼쪽)와 채화성 강의 교수.(아주대병원 제공)






0
회원로그인

댓글 삭제

삭제한 댓글은 다시 복구할 수 없습니다.
그래도 삭제하시겠습니까?

인제대백병원
건국대병원
고려대학교의료원
코리아메디컬서비스
가톨릭중앙의료원
원자력병원
국립암센터
부광약품
한림대병원
동국제약
강동경희대학교병원
동화약품
한국얀센(존슨앤드존슨)
정관장몰
한국유나이티드제약
인하대병원
아주대병원
애브비
화이자
동아ST
신풍제약주식회사
모바일 버전 바로가기
중앙대병원 2026년 신년 현수막
하루 동안 이 창을 다시 열지 않음