회사로고

Top
기사 메일전송
원인 못 찾던 뇌출혈 환자 4명, ‘뇌척수액 정맥 누공’으로 정밀진단, 세브란스서 모두 쾌차
  • 정종호 기자
  • 등록 2025-10-15 09:12:12
기사수정
  • 원인 규명부터 치료까지 ‘국내 첫 성공’ … 다학제 진료. 국내 최초 도입 DSM, CT 척수조영술 덕분
  • 경막하 출혈, 기립성 두통, 인지기능 저하, 보행장애 등 관련 증상 동시에 개선

연세대 세브란스병원이 ‘뇌척수액 정맥 누공’ 환자의 진단과 치료에 국내 최초로 성공했다. 이 질환은 자발성 두개내 저압증의 드문 형태 중 하나로 뇌를 보호하고 뇌의 압력(두개내압)을 유지하는 뇌척수액이 ‘비정상적인 통로(fistula, 누공)’를 통해 척수 주변의 정맥으로 새나가는 상태를 말한다. 

 

명확한 원인이 없이 발병해 진단이 어려우나 결과적으로는 뇌의 압력을 낮춰 여러 가지 증상을 일으킨다. 일어서면 두통이 심해지는 기립성 두통, 판단력이 떨어지거나 문제 해결력이 낮아지는 인지기능 저하, 보행장애까지 발생해 일상에 큰 영향이 있다.

 

일반적인 자발성 두개내 저압증과는 달리, 그 아형인 뇌척수액 정맥 누공은 자기공명영상(MRI)에서는 정상 소견을 보일 수 있어 원인 규명부터 치료까지 난항을 겪는다.

 

세브란스병원에서 최근 뇌척수액 정맥 누공으로 진단받은 환자 4명의 경우 이전에는 모두 뇌압이 낮아져 두통이 생기는 ‘자발성 두개내 저하증’이 의심됐으나, 척추 MRI와 단순 척수조영술 검사에서는 전부 정상 소견을 보였다.

 

본인의 혈액으로 뇌척수액 누출 위치를 막는 자가혈액패취술 등을 시행해도 증상이 호전되지 않던 이유다. 이에 더해 압력이 낮아진 뇌로 인해 뇌를 감싸는 경막의 내부와 정맥을 이어주는 교량정맥이 끊어져 경막하출혈도 발생해 스스로 보행이 불가능한 상태였다.

 

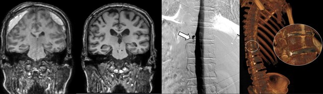
세브란스병원은 최근 디지털감산척수조영술(Digital Subtraction Myelography, DSM)을 국내 최초로 도입해 이와 같은 기존 진단법의 한계를 극복했다. DSM은 척수에 조영제를 주입하고 모니터 화면으로 뇌척수액의 흐름을 실시간으로 확인할 수 있다. 이를 통해 뇌척수액이 새나가는 구멍을 정확하게 찾아낼 수 있게 됐다.

 

DSM과 더불어 세브란스병원이 함께 진행 중인 측위 컴퓨터단층촬영(CT) 척수조영술까지, 모두 뇌척수액 정맥 누공을 진단할 수 있는 최신 기법이다. 뇌척수액 누출로 위축된 뇌(맨 왼쪽), DSM으로 확인한 누공 위치(세번째), 측위 CT 척수조영술로 확인한 뇌척수액 정맥누공 3D 영상(오른쪽)

이는 주민경, 하우석 신경과 교수와 허윤 신경외과 교수가 다학제 진료로 협력하는 만큼 진단과 치료가 원스톱으로 가능하다. 

 

이번에 세브란스병원을 찾은 환자들은 DSM 검사와 측위 CT 척수조영술로 뇌척수가 새어나가는 부위를 정확히 진단‧치료받고, 뇌압을 회복했으며 경막하출혈도 사라졌다. 이에 따라 환자들이 보였던 인지기능 저하와 보행장애도 모두 호전됐다. 

하우석 교수는 “자발성 두개내압 저하증과 특별한 외상이 없이 발생하는 경막하출혈의 원인 중 하나였던 뇌척수액 척수 누공은 두통, 인지능력 저하 등 심각한 고통을 일으키지만, 기존 진단법으로는 원인 규명이 쉽지 않던 상황”이라며 “다학제 진료와 세브란스병원이 도입한 DSM과 측위 CT 척수조영술로는 척수액 누출이 발생하는 지점을 정확히 찾아내 치료할 수 있다”고 말했다.

1
회원로그인

댓글 삭제

삭제한 댓글은 다시 복구할 수 없습니다.
그래도 삭제하시겠습니까?

인제대백병원
건국대병원
고려대학교의료원
코리아메디컬서비스
가톨릭중앙의료원
원자력병원
국립암센터
부광약품
한림대병원
동국제약
강동경희대학교병원
동화약품
한국얀센(존슨앤드존슨)
정관장몰
한국유나이티드제약
인하대병원
아주대병원
애브비
화이자
동아ST
신풍제약주식회사
모바일 버전 바로가기
중앙대병원 2026년 신년 현수막
하루 동안 이 창을 다시 열지 않음