성기혁 분당서울대병원 정형외과 교수팀은 소아 특발성 평발 환자를 대상으로 대표적인 두 수술법인 ‘종골 연장술’과 ‘종골 정지술’의 치료 효과와 수술별 특성 차이를 비교 분석한 연구 결과를 12일 발표했다.
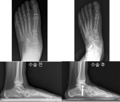
특발성 평발은 특별한 외상이나 질병 없이 성장기 아동에게 발생하는 발 모양의 변화를 말한다. 발바닥 아치가 무너지고 발이 안쪽으로 꺾이는 구조적 이상이 나타나며, 체중이 실리면 통증, 보행 이상 등을 유발할 수 있다. 대부분은 깔창 착용이나 스트레칭 운동과 같은 보존적 치료로 증상이 완화되지만, 증상이 지속되거나 변형이 심한 경우에는 수술을 고려하게 된다. ‘종골 정지술’을 받은 12세 환아의 수술 전(왼쪽)과 수술 3년 후 방사선 사진. 수술 후 발의 정렬이 정상에 가깝게 교정됐으며, 아치가 회복돼 평발 변형이 효과적으로 교정된 모습을 확인할 수 있다.
대표적으로 시행되는 ‘종골 연장술’은 뒷꿈치뼈(종골)를 절골한 뒤 뼈를 이식해 아치를 복원하는 수술로, 한 번의 수술로도 지속적인 교정 효과를 얻을 수 있다. 또 다른 수술법인 ‘종골 정지술’은 나사 1개를 삽입해 평발을 교정하는 방식으로, 보다 간단한 수술이 가능하다는 점이 특징이다. 두 수술 모두 평발 교정에 효과적인 것으로 알려져 있지만, 실제 환자 데이터를 바탕으로 두 수술법의 치료 결과를 비교한 연구는 거의 없었다.
연구팀은 두 수술법의 치료 결과를 비교하기 위해 2003년부터 2022년까지 평발 교정 수술을 받은 10~14세 소아 환자 127명(총 223족)을 대상으로 연구를 진행했다. 수술 전후의 발 모양과 기능 변화를 확인하고자 방사선 사진과 삶의 질 평가 설문(OAFQ)을 통해 분석하고, 회복 기간과 합병증 발생 여부를 함께 비교했다.
연구 결과, 두 수술법 모두 평발을 교정하는 데 효과적인 것으로 나타났다. 두 환자군 모두에서 발 아치와 정렬을 나타내는 방사선 사진 수치들이 수술 후 크게 개선됐다. 삶의 질 평가에서도 신체 기능, 학교생활 및 놀이, 정서적 측면, 신발 착용 등 모든 영역에서 점수가 향상된 것을 확인할 수 있었다.
하지만 회복 속도에서는 두 수술법 간 차이가 있었다. 종골 정지술을 받은 환자군은 체중 부하가 가능해 정상적으로 보행하기까지 평균 17.6일이 걸렸고, 종골 연장술을 받은 환자군은 평균 42.9일로 회복 속도에 유의미한 차이를 보였다. 또 종골 정지술을 받은 환자군에서 절골부의 불유합(뼈가 붙지 않는 상태) 등 주요 합병증의 발생 비율이 더 낮은 것으로 나타났다.
다만 종골 정지술의 경우 수술 후 약 3년이 지나 발 성장이 마무리되는 시점에, 삽입한 나사를 제거하는 추가 수술이 필요하다는 점을 고려해야 한다. 그럼에도 불구하고 종골 정지술은 절개 범위가 크지 않아 회복이 빠르고, 주요 합병증 위험이 비교적 낮다. 교정 효과도 안정적으로 유지돼 소아 평발 환자에게 우선적으로 고려해볼 수 있는 것을 확인할 수 있었다. 성기혁 분당서울대병원 정형외과 교수
성기혁 교수는 “이번 연구가 소아 평발 환자의 상태에 따라 보다 적절한 수술법을 선택하는 데 실질적인 근거를 마련했다는 점에서 의미가 깊다”며 “종골 정지술 환자에서 나사 제거 이후의 발 정렬 유지 여부 등 장기적인 예후를 확인하는 연구를 이어나가겠다”고 밝혔다.
이번 연구는 미국족부족관절학회(American Orthopaedic Foot & Ankle Society) 공식 학술지 ‘Foot & Ankle International’(IF=2.2)에 게재됐다.