회사로고

Top
기사 메일전송
악성 뇌종양 교모세포종, 생존 예후인자 규명
  • 오민택 기자
  • 등록 2023-06-28 12:19:55
  • 수정 2023-06-29 01:23:46
기사수정
  • MRI 검사결과 낭종(cyst) 비율 높은 환자 생존기간 길어

교모세포종은 가장 흔한 원발성 악성 뇌종양이며 환자의 평균 생존기간이 2년도 채 되지 않을 정도로 짧아 예후인자에 대한 연구가 활발히 진행돼왔다. 그 중 한가지로 종양의 형태가 체액(fluid) 성분이 대부분인 낭종(cyst)을 많이 포함하고 있는 것이 예후인자와 연관돼있을 것으로 제시됐으나, 연구마다 결과가 다르게 나와, 실제로 예후와 유의한 관련성이 있는지 논란이 되고 있다.  

 

안스데반 가톨릭대 서울성모병원 신경외과 교수는RI 검사에서 관찰된 낭의 유무에 따라, 낭성군 및 비낭성군으로 분류하여 어느 군이 더 좋은 예후를 보이는지 알아보고자, 2008년 8월부터 2020년 12월까지 서울성모병원에서 교모세포종을 진단받은 모든 환자들의 기록을 후향적으로 검토했다


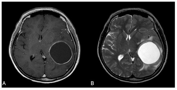
교모세포종 환자의 MRI 사진. 체액(fluid) 성분이 대부분인 낭종 (cyst)이 있는 낭성군(A)환자가 비낭성군(B) 환자에 비해 유의하게 생존기간이 길었다.

성향 점수 매칭 (propensity score matching) 통계를 활용해 두 군의 다른 예후인자와 연관된 인자를 동일하게 맞춘 후, 카플란-마이어 생존 곡선을 분석한 결과, 낭성군의 생존기간이 28.6개월로 비낭성군의 18.8개월 보다 유의하게 길었다.


다변량 분석에서도 낭이 종양에서 차지하는 비율이 높을수록 환자의 생존기간이 유의하게 길었다. 


안 교수는 “이번 연구는 교모세포종 환자 중 낭종의 비율이 높은 환자가 좋은 예후 결과를 보인다는 것을 입증할 수 있는 연구로, 향후 환자 예후 평가의 정확도를 높이고 치료 방향을 결정하는데 도움이 될 것”으로 기대했다.  

0
회원로그인

댓글 삭제

삭제한 댓글은 다시 복구할 수 없습니다.
그래도 삭제하시겠습니까?

인제대백병원
건국대병원
고려대학교의료원
코리아메디컬서비스
가톨릭중앙의료원
원자력병원
국립암센터
부광약품
한림대병원
동국제약
강동경희대학교병원
동화약품
한국얀센(존슨앤드존슨)
정관장몰
한국유나이티드제약
인하대병원
아주대병원
애브비
화이자
동아ST
신풍제약주식회사
모바일 버전 바로가기