-
- 자다 말고 ‘컥컥’ 폐쇄성 수면무호흡증, 치과 치료로 해결
- 50대 남성 A씨는 심한 코골이와 수면 중 호흡 중단 증상으로 일상생활에 큰 어려움을 겪었지만, 치과에 받은 구강 내 장치 치료를 통해 현재는 정상적인 수면을...
- 2024-10-11
-
- 치아 교정치료 후 꼼꼼한 유지관리 없으면 치아 배열 비뚤어질 수 있어
- 중학생 자녀를 둔 A씨는 요즘 치아교정치료를 다시 알아보는 중이다. 1년 전 교정치료를 끝낸 자녀의 치열이 다시 비뚤어졌기 때문. 교정치료를 한번 받고 나...
- 2024-09-20
-
- 두렵다고 피할 수 없는 치아 신경치료
- 충치로 인해 치아의 내부 신경관까지 세균에 감염되거나, 다양한 이유로 신경이 포함된 치수조직이 손상되었을 때 치아 신경치료를 진행하게 된다. 신경치료...
- 2024-09-05
-
- 이가 없으면 잇몸으로? 치아 빈 공간 방치하면 전신 합병증 초래
- 일반적으로 사랑니를 제외한 성인의 치아 개수는 28개다. 각 치아의 고유 역할들이 있지만 1~2개의 치아를 상실한 경우에도 일상생활에서 큰 불편함이 없다면 ...
- 2024-08-06
-
- 우리 아이 첫 교정치료, 언제 시작해야 할까요?
- 초등학생 자녀를 둔 40대 주부 A씨는 요즘 고민이 많다. 자녀의 유치가 빠지고 영구치가 나기 시작하면서, 앞니가 벌어지는 등 치열이 고르지 못한 것을 발견했...
- 2024-07-10
-
- 구강건강 관리로 건강수명 늘리세요 … 치실, 치간칫솔 사용과 정기적 스케일링이 중요
- 건강한 구강 상태를 통해 음식을 씹고 섭취하는 게 가능하기에 구강건강은 나이에 상관없이 중요하다. 어려서는 충치나 부정교합, 턱관절질환 등에 노출되고 나이가 들어서는 잇몸질환에 의한 치아상실...
- 2024-05-28
-
- 연휴기간 발생한 치아외상 응급상황, 이렇게 대처하세요!
- 5월은 ‘가정의 달’ ‘황금연휴’ ‘국내외 가족여행’으로 분주하다. 그만큼 다칠 위험도 높다. 연휴기간에 여행지에서 치아가 부러지거나 수복물이 빠지는 응급상황이 발생하면 어떻게 대처해야 할까...
- 2024-05-14
-
- 학령기 치아관리 … 영구치 어금니 올라오면 홈메우기 치료로 충치 예방
- 초등학교 1학년부터 6학년까지의 소아 학령기는 사회적으로 신체적으로 변화가 많지만 치아에서도 예외가 아니다. 이때에 생기는 다양한 치과적 문제들은 조기에 발견하면 간단히 해결되는 경우가 많지...
- 2024-05-10
-
- 서울대치과병원, 꾸준한 잇몸 관리로 건강한 노후를!
- 관악서울대치과병원은 3월 24일 '잇몸의 날'을 맞아 꾸준한 잇몸 관리를 통한 노후생활을 당부했다.건강보험심사평가원에 따르면 치은염이나 치주질환으로 병원을 찾는 환자 비중은 2019년 이래 선두(코로...
- 2024-03-22
-
- 백세시대, 잇몸질환으로 인한 ‘구강 노쇠’는 전신 노쇠의 전조 … 대한치주과학회·동국제약 ‘3·2·4 수칙 발표
- 올해는 65세 이상 인구가 전체 인구의 20% 이상인 초고령사회를 목전에 두고 있다. 대한치주과학회와 동국제약은 21일 오전, 한국프레스센터에서 ‘치주질환과 노화 및 노쇠’라는 주제로 ‘제16회 잇몸의 ...
- 2024-03-21
-
- 2025년 초고령사회 눈앞, ‘구강 노쇠’ 적극 관리 필요
- 한국은 현재 65세 이상 고령인구가 전체 국민의 19.2%를 차지하고 있다. 2025년부터는 초고령사회(super-aged society, 65세 이상 연령층이 총인구의 20% 이상을 차지하는 사회)로의 진입이 거의 확실시된다. 고령인...
- 2024-03-19
-
- 임플란트 여럿 해야 할 때 … ‘하나하나’ 심을까, ‘틀니’ 할까
- 치과 치료에 있어서 상실된 치아를 대체하는 방법으로 이제는 대중적인 치료로 자리 잡은 임플란트 치료, 하지만 빠진 치아가 많으면 수많은 임플란트를 식립해도 괜찮은지, 임플란트 치료부터 관리법에 ...
- 2024-03-05
-
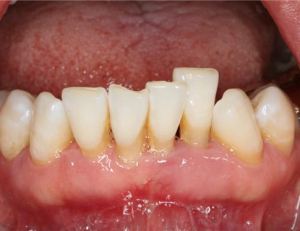
- 잇몸이 내려앉는다고요? 치은퇴축의 치료와 예방
- 50대 A씨는 요즘 양치를 할 때나 거울을 볼 때마다 시름이 깊어진다. 그 이유는 눈에 띄게 내려앉은 잇몸 때문인데, 드러난 치아 뿌리는 양치질을 할 때 바늘로 ...
- 2024-03-01
-
- 서울대치과병원, 인공지능 기술 활용으로 치의학 발전 선도
- 지난 12일 미국 라스베가스에서 막을 내린 세계 최대 가전‧IT 전시회인 CES 2024의 화두는 인공지능(AI)이었다. 국내외 유수의 기업들은 이곳에서 인공지능을 활용해 일상의 편리함을 더하는 새로운 기술들...
- 2024-01-26
-
- 골다공증 약 비스포스포네이트 계열 외에도 데노수맙도 약물관련악골괴사(MRONJ) 유발
- 비스포스포네이트 계열 골다공증 치료제를 장기 복용하면 악골(턱뼈)괴사 위험이 높아진다고 알려져 있는데 RANKL 표적치료제 계열 골다공증 약인 ‘프롤리아...
- 2023-09-14
-
- ‘록솔리드(TiZr)’ 재질 직경 3.5mm 이하 좁은 직경의 임플란트(NDIs) 장기 안정성과 생존율 확인
- 권용대 경희대 치과병원 구강악안면외과 교수팀은 스트라우만이 독자 개발한 록솔리드(TiZr) 재질의 좁은 직경의 임플란트(Narrow diameter implants, NDIs)를 식립한 환자를 대사응로 장기간 추적관찰한 결과 장기...
- 2023-09-06
-
- 치통의 3단계, 찬물에 → 뜨거운 물에 → 가만 있어도 통증
- 치아에 통증이 있을 때, 환자는 원인이 되는 치아를 정확하게 가리키지 못한다. 각기 다른 말초 부위에서 온 감각신경이 중추신경계에서 수렴하는 ‘폭주’ 현상 때문이다. 환자가 통증을 호소하는 치아...
- 2023-08-14
-
- 잇몸병 있으면 건선 발생 위험 11% 증가 … 잇몸건강 3.2.4 수칙 소개
- 치주질환이 있으면 건선 발생 위험이 11% 증가하고, 치주질환에 흡연까지 하면 그 위험은 26.5%까지 상승하는 것으로 나타났다. 박준범 가톨릭대 서울성모병원 치주과 교수와 같은 병원 이지현 피부과 교수...
- 2023-03-23
- 많이 본 뉴스
-
-
1
한국로슈 발작성 야간 혈색소뇨증(PNH) 희귀질환 신약 ‘피아스카이주’(크로발리맙)’ 국내 허가
-
2
JW중외제약, 리바로 국내 출시 20주년 기념 인포그래픽 공개 … 올 3분기 누적 매출 1413억원, 내년에 ‘리바로페노…
-
3
한국MSD ‘키트루다’, 내년 1월부터 미충족 수요 높았던 소외 암종에 보험급여 확대
-
4
사노피, 주1회 투여 지속형 혈우병A 치료제 ‘알투비오주’ 국내 허가
-
5
크레스콤, 골연령 분석 AI ‘MediAI-BA’ 美 FDA 510K 허가 획득 … 소아 손가락뼈 X-레이를 5초만에 분석
-
6
대한병원의학회 창립, 초대 회장에 신동호 연세대 교수 선출 … 이사장엔 한승준 서울대병원 내과 교수
-
7
한림대 동탄성심병원, 약물 없이 초음파로 알츠하이머 원인 물질 65% 제거
-
8
SK케미칼–넥스트젠바이오사이언스, AI 기반 오픈이노베이션 신약개발 … 후보물질 도출부터 비임상까지 공동 진…
-
9
경북대병원, 비만 환경에서 간암 면역항암치료 저항성 유발 기전 규명
-
10
가톨릭대, 인간 적혈구 기반 비장 표적 생체모사 나노면역치료 플랫폼 개발