-
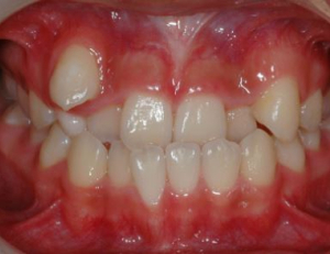
- 성별, 연령에 대한 디지털 브라켓 교정 장치의 임상 유용성 연구 발표
- 김성훈 경희대치과병원 바이오급속교정센터 교수팀(이혜진 전공의, 백금 대학원생)이 교정치료 과정 중 하나인 브라켓 부착 관련 디지털 간접접착(Digital Indirect Bonding) 시스템에 대한 임상연구를 진행, 그 ...
- 2023-02-10
-
- ‘아이가 어리다면 전동칫솔 추천하지 않아요’
- 이제 막 치아가 나고, 유치가 빠지고 새로 나고 하는 소아청소년기의 구강위생관리는 좋은 습관을 형성해주는 것부터 시작해야 한다. 부모와 함께 가정에서 양치질부터 치실 사용, 치과에서의 정기적 구...
- 2022-12-22
-
- 덧니 심해도 뽑지 않고 교정치료 가능…심미적 우수성 재입증
- 비발치 치료법을 선도하는 국윤아‧김윤지 가톨릭대 서울성모병원 치과병원 교정과 교수팀이 MCPP(modified C-palatal plate)로 심한 덧니를 가진 환자라도 치아를 뽑...
- 2022-12-20
-
- ‘치아교정하면 잇몸이 약해질까?’ 수개월 지나면 단단히 자리
- 치아교정 후 잇몸이 달라졌다? 비뚤어진 치아, 치아 사이에 틈이 벌어진 경우, 앞니가 과도하게 돌출된 치아, 저작기능이 어려운 치열을 가진 경우 치아교정을 통해 가지런하게 바로잡는 치료를 받을 수 ...
- 2022-12-19
-
- 잠 못 자는 폐쇄성 수면무호흡증 치과에서 치료
- 잠이 보약이라는 말이 있을 정도로 건강한 수면은 삶의 질을 높이는 가장 중요한 조건 중 하나다. 건강한 수면을 방해하는 요인에는 여러 가지가 있지만 그중 폐쇄성 수면무호흡증은 만성피로는 물론, 고...
- 2022-11-29
-
- 나만 왜 충치가 많을까? 충치가 잘 생기는 이유
- 충치(치아우식증)는 충치 세균의 대사작용 결과로 발생하는 산 성분 때문에 치아의 표면이 손상되어 구멍이 생기는 구강질환이다. 초기 충치는 흰 반점의 형태로 시작하고 충치의 정도가 심해지면 점차 ...
- 2022-11-10
-
- 치과병원 전용 MRI, 진단 정확성·치료 적기성 높여
- 연세대 치과대학병원(병원장 정영수)이 치과병원 전용 3.0T MRI(자기공명영상장치)를 도입해 턱관절, 구강암 등의 진단 정확도를 높이고 적기 치료를 가능하게 ...
- 2022-11-08
-
- 한국인 절반이상이 부정교합…성인 치아교정, 가장 적절한 시기는?
- 치열이 고르지 않은 것을 부정교합이라고 한다. 치아가 단순히 삐뚤삐뚤한 치성 부정교합과, 위턱과 아래턱의 골격의 문제로 위아래 치아의 교합이 맞지 않는 골격성 부정교합으로 나누어 볼 수 있다. 부...
- 2022-10-19
-
- 어금니 뿌리가 깊게 들어가도 ‘비발치’로 가능한 교정 치료법 선봬
- 비발치 치료법을 선도하는 국윤아 가톨릭대 서울성모병원 치과병원 교정과 교수 연구팀이 함기화된 상악동 내부에 치근(치아 뿌리)이 위치한 어금니에서도 ...
- 2022-09-28
-
- 연세대 치과대학, 틀니 만드는 新 혼합 소재 개발
- 제작 소재를 새롭게 조합해 내구성이 높고 기존보다 더 위생적으로 사용할 수 있는 틀니가 개발됐다. 권재성 연세대 치과대학 치과생체재료공학교실 교수, 최성환 교정과학교실 교수와 케니치 구로다(Ken...
- 2022-09-28
-
- 서울대치과병원, 혁신적 AI 딥러닝 기술 탑재MRI 가동
- 서울대치과병원(병원장 구영)은 지난 6일 구영 병원장과 권호범 치의학대학원장 등 주요 보직자가 참석한 가운데 연구동 지하 1층에서 MRI 가동식 및 기념 심포지엄을 개최했다. 서울대치과병원은 최첨단 A...
- 2022-09-07
-
- 당뇨병 환자라면 임플란트 시술 전 적절한 혈당관리 필수
- 임플란트 시술을 받으려는 사람의 상당수는 고령자로 전신 병력 질환을 하나 이상 가지고 있는 경우가 많다. 그 중에서도 가장 흔한 만성질환이 당뇨병이다. 나이가 많은 당뇨 환자들은 임플란트 시술이 ...
- 2022-08-24
-
- 아래턱뼈가 부러지는 ‘하악골 골절’, 치료는?
- 아래턱뼈는 다른 얼굴뼈에 비해 굵고 단단하지만 코뼈 다음으로 가장 골절이 많은 얼굴뼈이기도 하다. 가장 바깥에 위치하고 있어 다른 뼈들과 연결돼 있지 않아 힘이 분산되지 않기 때문이다. 아래턱뼈...
- 2022-08-23
-
- 탄산이 교정 장치 부식? - 교정보다 충치에 영향
- 교정 치료를 받는 환자라면 치아에 붙어 있는 교정 장치가 딱딱한 음식 때문에 혹시 틀어지지는 않을지, 끈적한 젤리를 먹으면 장치에 악영향을 미치지는 않는지 걱정을 한 번쯤은 해봤을 것이다. 과연 피...
- 2022-08-18
-
- 서울대치과병원‘스마트 심미 보철-교정 인공지능 학습용 데이터 구축
- 서울대치과병원(병원장 구영)은 ‘스마트 심미 보철-교정 영역의 진단·치료 계획을 위한 인공지능 학습용 치과임상 사진 이미지 데이터 세트 구축 사업(연구...
- 2022-08-18
-
- 임플란트 표면 뼈형성단백질 유전자 고정기법으로 골조직재생 증진
- 조영단 서울대치과병원 치주과 교수와 미국 하버드 치과대학 학장William.V.Giannobile 교수 연구팀은 치과 임플란트 표면 Bone Morphogenetic Protein(BMP, 뼈형성단백질) ...
- 2022-07-28
-
- 경희대치과병원, 국내 최초 ‘인공지능 3D 통합영상분석 플랫폼’ 개발
- 경희대치과병원(원장 황의환)이 지난 18일 세계적인 3D 렌더링 소프트웨어 개발사인 미국 오스티오이드(Osteoid Inc., 대표 허정훈)와 국내 최초 ‘인공지능 3D 통합영상분석 플랫폼인 트위맥 개발’을 위한 업...
- 2022-07-22
-
- 비뚤거리는 치아는 부모 탓? 실제로는 유전성향이 낮다
- 자녀의 치아가 비뚤거리면 엄마나 아빠를 닮아서라고 생각할 수 있는데, 실제로 비뚤거리는 치아는 유전 성향이 낮다는 재미있는 연구결과가 발표됐다. 김영...
- 2022-07-07
- 많이 본 뉴스
-
-
1
한국로슈 발작성 야간 혈색소뇨증(PNH) 희귀질환 신약 ‘피아스카이주’(크로발리맙)’ 국내 허가
-
2
JW중외제약, 리바로 국내 출시 20주년 기념 인포그래픽 공개 … 올 3분기 누적 매출 1413억원, 내년에 ‘리바로페노…
-
3
한국MSD ‘키트루다’, 내년 1월부터 미충족 수요 높았던 소외 암종에 보험급여 확대
-
4
크레스콤, 골연령 분석 AI ‘MediAI-BA’ 美 FDA 510K 허가 획득 … 소아 손가락뼈 X-레이를 5초만에 분석
-
5
사노피, 주1회 투여 지속형 혈우병A 치료제 ‘알투비오주’ 국내 허가
-
6
대한병원의학회 창립, 초대 회장에 신동호 연세대 교수 선출 … 이사장엔 한승준 서울대병원 내과 교수
-
7
SK케미칼–넥스트젠바이오사이언스, AI 기반 오픈이노베이션 신약개발 … 후보물질 도출부터 비임상까지 공동 진…
-
8
한림대 동탄성심병원, 약물 없이 초음파로 알츠하이머 원인 물질 65% 제거
-
9
경북대병원, 비만 환경에서 간암 면역항암치료 저항성 유발 기전 규명
-
10
가톨릭대, 인간 적혈구 기반 비장 표적 생체모사 나노면역치료 플랫폼 개발