- 통증·가려움·청력감소 나타나, 환자 10대 청소년 최다 … 면봉 등 사용 피하고 세정 후 건조해야
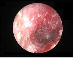
물놀이 중 갯벌 진흙이 귀로 들어가 외이도에 염증이 생긴 모습
휴가철을 맞아 물놀이를 즐기는 사람이 많아지면서 통증·가려움·청력감소 등을 유발하는 ‘외이도염’ 발생률이 급증하고 있는 것으로 나타났다. 국민건강보험공단은 2007~2012년 건강보험 진료비 지급자료를 분석한 결과 외이도염 진료인원은 2007년 135만3000명에서 2012년 154만5000명으로 늘었으며 6년간 연평균 증가율은 2.7%로 나타났다고 1일 밝혔다. 이 질환으로 인한 건강보험 진료비는 2007년 544억8000만원에서 2012년 669억5000만원으로 연평균 4.2% 증가했으며, 공단이 부담한 급여비는 연평균 4.5% 늘었다.
외이도염은 귀의 외이도 부분에 발생하는 염증성 질환으로 통증, 가려움증, 이충만감(귀에 뭔가 가득차 있는 느낌), 청력 감소 등 증상이 나타난다. 정상적인 외이도 피부는 지방층이 있어 방수 기능을 하고 세균이 들어오는 것을 막는다. 그러나 습도나 온도가 높아거나, 외이도가 오염되거나, 지나치게 귀를 후비는 경우 지방층이 파괴돼 외이도염이 나타날 수 있다.
월별 진료환자 수는 여름철인 8월이 평균 27만1000명으로 가장 많았으며 특히 지난해 8월에는 29만명 이상이 외이도염으로 진료받은 것으로 나타났다. 최현승 일산병원 이비인후과 교수는 “여름철에는 수영을 하는 사람이 많고 기후가 습해 외이도에 세균이 쉽게 감염될 수 있다”고 설명했다.
매년 8월 기준 외이도염 질환의 연령대별 진료환자 수는 청소년인 10대가 16.3%(4만4000명)로 가장 많았다. 최 교수는 “여름철에 물놀이를 많이 하는 10대 청소년의 경우 외이도가 깨끗하지 못한 물에 장시간 노출되거나, 면봉 등으로 귀를 후비다가 상처를 입어 감염률이 높은 것으로 추측된다”고 설명했다.

2012년 기준 지역별 인구 10만명당 환자수는 제주가 3477명으로 가장 많았으며 전북이 3396명, 대전 3261명, 울산이 3249명으로 뒤를 이었다. 최 교수는 “외이도염은 습도나 온도가 높은 환경에서 생기기 쉬운데 제주도는 다른 지역보다 따뜻하고 바다로 둘러싸여 있다는 환경적인 특성 때문에 발생률이 높은 것”이라고 설명했다.
최 교수는 “급성 외이도염은 염증이 아직 심하지 않을 때가 많아 현미경을 이용해 철저히 세정하면 치료가 가능하다”며 “중증도 이상 염증의 경우 외이도를 세정한 후 산도를 가진 항균·항생물질을 염증 부위에 바르면 된다”고 말했다. 경구용 항생제도 염증의 부종을 치료하는 데 도움될 수 있다.
외이도염을 예방하기 위해서는 깨끗하지 않은 물이나 이물질이 귀에 들어가지 않도록 주의해야 한다. 물놀이를 할 때 귀마개를 착용하는 것도 좋은 방법이다. 귓구멍에 이물질이 들어가거나 통증이 느껴지는 경우 면봉이나 귀이개로 외이도를 자극하는 것을 피해야 한다. 최 교수는 “외이도에 과도한 자극이 가해지면 고막 천공, 외이도 폐쇄, 중이염 등이 진행될 수 있기 때문에 염증 초기에 이비인후과 전문의를 찾아 정확한 진단 및 치료를 받아야 한다”고 조언했다.
