로그인
회원가입
2025-11-26 09:43 (Wed)
전체뉴스
美MSD-中 커룬 공동개발 ‘키트루다+sac-TMT’ 병용요법 PD-L1 양성 NSCLC 대상 3상 성공
미국 머크(MSD)와 파트너사인 중국 쓰촨성 커룬제약(Kelun-Biotech, 四川科倫博泰生物醫藥)은 TROP2를 표적으로 하는 항체-약물접합체(ADC)인 ‘sacituzumab tirumotecan(sac-TMT, 옛 SKB264/MK-2870)과 PD-1 억제제 ‘키트루다주’(Keytruda, 성분명 펨브롤리주맙)를 병용하는 요법이 3상 임상시험에서 성공했다고 24일(중국 현지시각) 발표했다. 커룬은 비소...
의학건강
의약 인물
학술·치료
의료계 뉴스
생활건강
치과
한의학
안성준 한양대병원 교수, 대한안과학회 한길학술상 … 20년간 30편 이상의 논문 게재
안성준 한양대병원 안과 교수가 지난 11월 인천에서 열린 대한안과학회 제134회 학술대회에서 ‘한길학술상’을 수상했다.한길학술상은 2007년 제정된 이후 안과학 발전에 기여한 연구자를 매년 1명 선정해 시상하는 권위 있는 학술상으로, 대한안과학회가 최근 수년간의 연구 성과를 종합적으로 평가해 수여한다.안 교수는 망막 약물 ...
정책사회
정책사회
국내 환자단체는 575개 질환에 걸쳐 총 902개 단체 활동
국내에서 처음으로 환자단체와 관련된 대규모 통계가 나왔다. 헬스케어 전문 PR회사 엔자임헬스가 운영하는 헬스인사이트센터(센터장 강현우)는 국내 온오프라인에서 활동하고 있는 환자단체는 575개 질환에서 총 902개, 약 734만명 수준인 것으로 집계됐다고 11일 발표했다. 조사 결과 신생물(암) 관련 환자단체가 165개로 최다였지만, 단일질...
제약바이오
제약바이오 뉴스
의약품 비교 심층분석
코스메틱
SK플라즈마, 튀르키예 적신월사와 혈장분획제제 합작회사 설립
SK플라즈마가 인도네시아에 이어 튀르키예 정부가 추진하는 혈장분획제제 자급화 국가전략사업의 기술 수출 파트너로 선정됐다. SK플라즈마는 지난 24일(현지시각) 튀르키예 앙카라에서 튀르키예 적신월사(Kizilay, 이슬람권 적십자사)와 국가필수의약품 자급화를 위한 혈장분획제제 플랜트 건설 및 합작회사 ’프로투르크(Proturk)’ 설...
식품
건강기능식품
푸드뉴스
술의 세계
휴온스엔, ‘이너셋 오가닉 올리브유&레몬샷’ 출시 … 지중해식단을 스틱 한 포에 담은 아침공복 건강 솔루션
휴온스그룹 휴온스엔은 이너뷰티 브랜드 ‘이너셋(INNERSET)’ 신제품인 ‘이너셋 오가닉 올리브유&레몬샷’을 출시했다고 12일 밝혔다. 최근 건강 관리 트렌드로 저속노화(슬로우 에이징)과 건강노화(웰 에이징)에 대한 관심이 높아지면서 공복에 올리브오일과 레몬즙을 함께 섭취하는 식습관이 주목 받고 있다. 휴온스엔은 이...
힐링투어
여러 지역
'페낭' 길었던 10년간의 여정(1)
검색해보니 한국에서 페낭을 갈 수 있는 직항은 여전히 없다. 만약 짧게 여행을 가고 싶다면 싱가포르를 들러 페리를 타고 페낭을 오는 것을 추천한다. 내리면 헤리티지 지역인 조지타운이다.짧은 여행을 위해서라면 굳이 비행기를 경유해가면서까지 찾아갈 만큼 여행지의 매력을 발산하지는 않는다. 대신 한달살기 등 긴 시간동안 느긋하...
의료기기
의료기기
드퓨신테스, 무릎 인공관절 수술 로봇 ‘벨리스(VELYS)’ 반치환술 국내 적응증 추가 승인
글로벌 정형외과 의료기기 기업 드퓨신테스(DePuy Synthes)는 무릎 인공관절 수술로봇 ‘VELYS Robotic-Assisted Solution’(벨리스)이 식품의약품안전처로부터 반치환술(Unicompartmental Knee Arthroplasty; UKA) 소프트웨어에 대한 허가를 추가로 획득했다고 24일 밝혔다. 벨리스는 올해 초 국내 론칭 이후 전치환술(Total Knee Arthroplasty; TKA) 분야에서 활용되고...
칼럼
칼럼
17일은 ‘세계 이른둥이의 날’ 어려움 이겨내고 건강하게 자랄 수 있다
의학적으로는 임신 주수 37주 미만(36주 6일까지)에 출산한 아기를 ‘이른둥이’라 한다. 이른둥이는 대부분 건강하게 잘 자라며, 혹여 건강상의 어려움을 겪더라도 이를 이겨낼 수 있다는 희망을 부각하기 위해 ‘미숙아’ ‘조산아’ 대신 ‘이른둥이’라는 한글 이름을 쓰는 추세다. 작게 태어난 이른둥이들은 엄...
글로벌뉴스
글로벌 뉴스
美MSD-中 커룬 공동개발 ‘키트루다+sac-TMT’ 병용요법 PD-L1 양성 NSCLC 대상 3상 성공
미국 머크(MSD)와 파트너사인 중국 쓰촨성 커룬제약(Kelun-Biotech, 四川科倫博泰生物醫藥)은 TROP2를 표적으로 하는 항체-약물접합체(ADC)인 ‘sacituzumab tirumotecan(sac-TMT, 옛 SKB264/MK-2870)과 PD-1 억제제 ‘키트루다주’(Keytruda, 성분명 펨브롤리주맙)를 병용하는 요법이 3상 임상시험에서 성공했다고 24일(중국 현지시각) 발표했다. 커룬은 비소...
Top
기사 메일전송
의학건강
생활건강
의약 인물
학술·치료
치과
한의학
의료계 뉴스
이상욱 순천향대 부천병원 비뇨의학과 교수, 로봇수술로 ‘희귀 거대 요관막암’ 제거 성공
김도희 기자
등록 2021-01-19 11:32:30
수정 2021-01-19 17:01:48
facebook
twitter
band
naverShare
Telegram
목록
기사수정
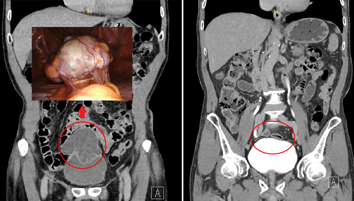
71세 남성 고령 환자에 적합한 고난도 술기 구사, 출혈 및 합병증 줄여 … 작년 3월엔 신장 신우요관 파열수술
이상욱 순천향대 부천병원 비뇨의학과 교수가 다빈치 Xi 로봇수술로 ‘희귀 거대 요관막암’을 제거하는 데 성공했다고 19일 밝혔다. 요관막은 태아 시절 방광과 배꼽 사이를 연결하는 관으로 출생 후에는 섬유끈으로 바뀌어 정중 배꼽 인대가 된다.
환자는 71세 남성으로 8cm 크기의 큰 암 덩어리가 배꼽 직하부 요막관에 자리 잡아 방광까지 침범한 상태였다. 고령인데다가 혈관이 매우 발달해 수술 시 극심한 출혈 위험성이 높고, 해부학적인 파악도 쉽지 않아 고난도 수술이 필요했다.
이에 이상욱 교수는 다빈치 Xi 로봇수술을 택했다. 수술 부위를 3D 영상으로 15배까지 확대해보면서 자유롭게 회전하는 로봇 팔을 이용해 정밀하게 요막관 제거 및 방광 부분 절제술을 시행해 거대 요막관암을 제거했다.
이상욱 교수는 “환자가 고령인 점을 고려해 다른 장기 손상과 통증, 진통제 사용량을 최대한 줄일 수 있는 로봇수술을 시행했다. 기존의 개복 또는 복강경 수술보다 출혈과 합병증이 적어 빠르게 회복할 수 있다는 점에서 고령 환자에게 적합한 수술 방법”이라고 말했다.
이 교수는 지난해 3월에도 교통사고로 한쪽 신장의 신우요관 이행부가 파열된 17세 환자를 국내 최초로 ‘로봇 신우요관문합술’을 통해 치료하는 등 지역 의료계에서 고난도 로봇수술 명의로 명성을 떨치고 있다.
.
0
김도희 기자
facebook
twitter
band
naverShare
Telegram
회원로그인
댓글 삭제
삭제한 댓글은 다시 복구할 수 없습니다.
그래도 삭제하시겠습니까?
삭제
헤드라인
美MSD-中 커룬 공동개발 ‘키트루다+sac-TMT’ 병용요법 PD-L1 양성 NSCLC 대상 3상 성공
SK플라즈마, 튀르키예 적신월사와 혈장분획제제 합작회사 설립
간세포암 면역항암 치료서 임상적 이상반응 증상은 없되, 영상으로 관찰되면 예후 좋아
‘프라임 편집기술’ 활용해 만성골수성백혈병 ABL1 유전자 변이에 따른 표적항암제 내성 확인
삼성라이프사이언스 펀드, 이중항체-이중페이로드 ADC 전문기업 中 프론트라인에 투자
서울성모병원, '아시아 최초' 벨기에 IBA社 차세대 양성자 치료기 ‘Proteus Plus’ 도입
노바티스, SMA 유전자 치료제 ‘졸겐스마’의 새 제형 ‘잇비스마’ FDA 승인
많이 읽은 기사 (최근 7일간)
‘아일리아 HD’ 고용량 제형, 망막정맥 폐쇄로 인한 황반부종 치료제로 FDA 추가 승인
바사테라퓨틱스 저분자 저해제 ‘VS-041’ 박출률 보존 심부전 치료제 FDA ‘패스트트랙’
美 뉴베일런트, ROS1 양성 비소세포폐암 신약후보 ‘지데삼티닙’ FDA 승인심사 개시
아폴론, 美 매사추세츠 주정부로부터 비침습 연속혈당측정(CGM) 임상비용 전액 지원
순응변이 한국 파브리병 환자 대상 ‘갈라폴드’ 6년간 실사용 임상결과 발표 … 양호한 안전성‧신기능 유지
연세암병원, 영등포 성애병원과 비대면 협진 플랫폼 실증 MOU 체결 … 총 12개 의료기관 실증 참여 중
연세대-가톨릭대 연구팀, 소아청소년 갑상선기능항진증 치료제 적정 용량 예측 인공지능 모델 개발
SK바이오사이언스, KCGS ESG 평가 4년 연속 ‘A등급’ 획득 … ESG 경영체계 고도화 성과 입증
정양국 서울성모병원 교수, 아시아태평양 근골격종양학회(APMSTS) 회장 취임 … 올 10월부터 임기 2년
서울아산병원, ‘심장 구조 구현’ 3D 펄스장 절제술로 심방세동 치료 성공
많이 본 뉴스
1
수능약‧면접약으로 둔갑한 심장약 ‘인데놀’ 남용 위험 … 오남용하면 부작용, 기저질환 악화 우려
2
노보노디스크, 멧세라에 인수 위해 세 번째 금액 상향 제안 … 90억달러→100억달러→?(미공개)
3
국내 유일의 청소년용 GLP-1 계열 비만치료제 ‘위고비’ … 오남용‧부작용 이슈에 순기능 묻히면 안 돼
4
지씨셀, HER2 CAR-NK 세포치료제 첨단재생의료 임상연구 및 규제특례 승인 획득
5
연세대 간호전문대학원 신설 … 실무 중심의 연구와 리더십에 초점 맞춘 석‧박사 양성, 내년 3월 모집
6
삼성바이오로직스서 인적 분할된 삼성에피스홀딩스, 바이오투자 지주회사로 11월 공식 출범
7
동국제약, 고함량(600mg) 디오스민 성분 먹는 치질약 ‘치센정’ 출시
8
뇌출혈의 ‘골든타임’은 없다 … 알아채면 바로 치료 시작해야
9
하용찬 서울부민병원장, 50세 이상 척추골절 발생 여성이 남성의 3배 … 사망률은 남성이 여성의 2배
10
넷타겟, 스위스 디바이오팜과 AI 기반 이중 페이로드 ADC 공동개발 협력
최신뉴스
MSD-중 커룬 공동개발 ‘키트루다+sac-TMT’ 병용요법 PD-L1 양성 NSCLC 대상 3상 성공
SK플라즈마, 튀르키예 적신월사와 혈장분획제제 합작회사 설립
한국유나이티드제약, 몽골 현지서 의료진 초청 ‘클라빅신듀오캡슐’ 론칭 세미나 개최
안성준 한양대병원 교수, 대한안과학회 한길학술상 … 20년간 30편 이상의 논문 게재
아주대병원, AI 기반 임상추론 기술로 암병기 예측 정확도 30% 향상
분당차병원, 유전자·단백질 분석으로 침윤성 간세포암의 면역항암제 내성 원인 규명
간세포암 면역항암 치료서 임상적 이상반응 증상은 없되, 영상으로 관찰되면 예후 좋아
‘프라임 편집기술’ 활용해 만성골수성백혈병 ABL1 유전자 변이에 따른 표적항암제 내성 확인
삼성라이프사이언스 펀드, 이중항체-이중페이로드 ADC 전문기업 中 프론트라인에 투자
서울성모병원, '아시아 최초' 벨기에 IBA社 차세대 양성자 치료기 ‘Proteus Plus’ 도입
모바일 버전 바로가기